發現耳朵脹脹的、會痛甚至流膿,千萬別拿棉花棒亂挖,要趕緊去看耳鼻喉科了。75歲的張先生本來右耳聽力就不好,最近發現耳朵脹痛還反覆流膿,後續病況更嚴重,出現右臉顏面神經麻痺。從診所轉到大醫院檢查,驚覺顱底骨質竟被侵蝕了。

示意圖非當事人,翻攝自endoearsurgery
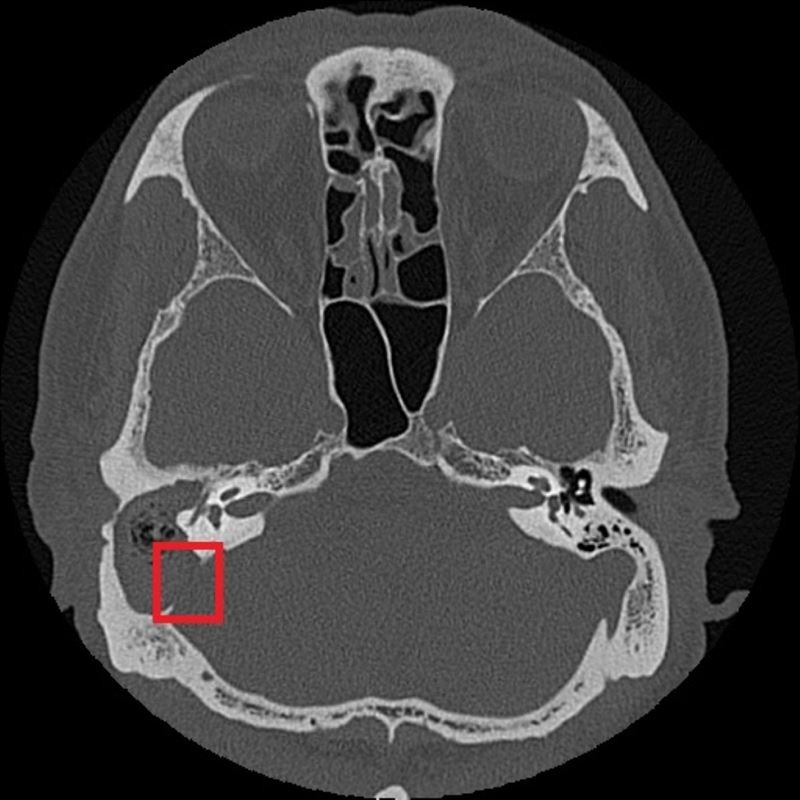
根據《三立新聞網》、《ETtoday新聞雲》報導,台北慈濟醫院耳鼻喉科主治醫師鄭靜雯說明,張先生有慢性中耳炎病史,檢查時發現耳道內都是膿液和皮屑,清理用藥後不僅沒緩解,右臉還「顏面神經麻痺」癱瘓。經過顳骨電腦斷層,張先生確診為「慢性中耳炎併發膽脂瘤」。雖然膽脂瘤是良性的,但已經侵蝕到顱底骨質,導致神經壓迫、右臉面癱。

示意圖非當事人,翻攝自台北慈濟醫院
鄭靜雯醫師說明,扁平上皮細胞長期累積角質,在耳朵裡堆積成膽脂瘤,在中耳或乳突部位較常見。後天的膽脂瘤多和慢性中耳炎相關,耳朵長期發炎、鼓膜穿孔,逐漸在中耳腔形成膽脂瘤,持續侵蝕骨質、破壞聽小骨。張先生住院後先是控制發炎感染,穩定發炎後才手術清除病灶、修補重建鼓室組織,所幸術後恢復良好。

翻攝自台北慈濟醫院
鄭醫師表示,膽脂瘤位置靠近腦部,如未及時處理不只造成劇烈暈眩、損害聽力,還可能引發腦膜炎、腦膿瘍等致命風險。鄭醫師提醒「鼓膜穿孔、中耳負壓、唇顎裂兒童、耳咽管功能不佳」是膽脂瘤高風險族群,也約有1成慢性中耳炎病患容易得。鄭醫師示警勿過度或不當掏耳朵,以免導致耳道受傷或耳膜穿孔、增加感染風險。

示意圖非當事人,翻攝自pexels
當信任與隱私相遇:一份關於親密關係界線的深度解析
在現代親密關係中,信任、隱私與安全感之間的複雜拉扯,一直是許多伴侶共同面對的課題。一項最新的網路民意調查揭示了人們對於「伴侶是否應該無條件查看手機」的看法,結果呈現出一個引人深思的局面。
當「透明」成為忠誠的證明:選擇「認同」者的心聲
有一部分受訪者選擇了「認同」伴侶隨時查看手機的要求,他們認為這是展現清白與忠誠的最高證明。這背後可能隱藏著幾種複雜的心態與考量:
- **極致的忠誠表現:** 他們或許相信,在關係中毫無保留的透明度,是建立並維繫深厚信任的基石。交出手機,即是對伴侶毫無隱瞞的最高宣誓。
- **避免衝突的策略:** 為了迅速消除伴侶的疑慮或猜忌,避免不必要的爭吵與誤會,他們願意暫時犧牲個人隱私,以換取關係的穩定與和諧。
- **「清者自清」的信念:** 持此觀點者認為,自己行事坦蕩,沒有任何不可告人的秘密,因此不懼怕手機被查閱。對他們而言,這不是被迫的義務,而是「我確實沒問題」的自信展現。
- **渴望無界限的親密:** 這類人可能嚮往一種幾乎沒有私人界線的關係模式,認為伴侶之間應該完全開放,共享一切,不應有秘密空間。
- **潛藏的不安全感:** 有些人可能因為自身或伴侶過往的感情經歷,對「忠誠」格外敏感,進而選擇這種「零容忍」的方式來確保關係的安全感。
對於這群選擇「認同」的人而言,他們將「交出手機」視為一種預防伴侶出軌嫌疑的手段。他們相信,只要手機內容乾淨,便能證明自己的清白。然而,這樣的做法也存在潛在的風險:如果一方真有出軌意圖,他們可能會轉而尋找其他更隱蔽的通訊方式,或準備「乾淨」的手機以敷衍。真正的信任危機和出軌行為,往往根源於關係中更深層的問題,例如溝通不良、需求長期未獲滿足或情感連結薄弱,而非單純的手機內容所能反映或解決。出軌的原因是多面向的,與是否願意交出手機並無直接關聯。因此,單純透過要求查看手機來建立信任,可能只是治標不治本。
親密關係的多元面貌:這對整個社群意味著什麼?
這項調查結果不僅呈現了個人層面的心理,也對整個社群的親密關係觀念帶來了深刻啟示:
- **信任與隱私的永恆拉扯:** 大多數受訪者選擇「不認同」無條件交出手機,這顯示在現代社會,即使在最親密的關係中,個人隱私權仍然被視為一條重要且應受尊重的界線。這場爭論反映了伴侶間在透明度與個人空間之間,普遍存在的掙扎與平衡需求。
- **關係模式的多元共存:** 投票結果並非一面倒,說明社會上存在著多元的關係模式和價值觀。有些伴侶可能選擇完全的開放與共享,而另一些則更注重個人獨立性與邊界。這提醒我們,沒有一種「放諸四海皆準」的關係準則。
- **溝通與界線設定的重要性:** 這個議題強烈提醒所有伴侶,在關係初期或面臨信任挑戰時,明確溝通並協商彼此對「隱私」與「透明」的期望至關重要。唯有透過開放且真誠的對話,伴侶才能找到最適合彼此的平衡點。
- **重新定義「清白」:** 「以示清白」這句話本身也值得深思。真正的清白與信任,是否真需要透過「無條件交出手機」來證明?大多數人的「不認同」或許暗示著,真正的信任與清白應建立在日常的行為、誠懇的溝通和深厚的情感連結之上,而非冰冷的手機螢幕。
全球視野下的隱私觀:與其他國家的比較
不同國家和文化背景對此問題的看法,確實存在顯著差異:
- **西方個人主義文化:** 在許多強調個人主義的西方國家,個人隱私權和獨立性被高度重視。無條件要求查看手機,通常會被視為一種侵犯個人空間、缺乏信任,甚至是控制欲或情感虐待的早期警訊。這種行為往往被視為關係中存在嚴重問題的跡象,而非正常互動。
- **部分東亞集體主義文化:** 在一些相對集體主義或家族觀念較重的東亞文化中,伴侶之間「共享」的觀念可能略高於西方。有時,基於安全感或對對方「完全歸屬」的期待,可能會對查看手機的行為有較高的容忍度,甚至在某些群體中,這被視為「愛」或「在乎」的表現。然而,即使在這些文化中,隨著年輕一代對個人權利的日益重視,這種觀念也在逐漸轉變。
這項調查結果中,選擇「不認同」無條件交出手機的人佔了大多數,這可能表明在台灣(或至少是該調查的使用者群體),親密關係的觀念正逐漸朝向更重視個人隱私和伴侶間「相互尊重」的方向發展,與西方世界對隱私權的重視有趨同的趨勢。儘管仍有相當比例的人認同完全透明,但主流意見似乎傾向於:真正的信任應該通過日常互動和真誠溝通來建立,而非透過對手機的監控。這也反映了現代社會中,個人邊界感和自我意識的提升。
你覺得這篇分析對你有幫助嗎?
(往下還有更多精彩文章!)