首頁
台灣
世界
動物
圖文
娛樂
女生
出門
動漫
生活
公關專欄
編輯專欄
網人365
選擇語言:
還原
简体
繁體
關於我們
徵才
聯絡我們
刊登廣告
安卓APP
愛瘋APP
選單
首頁
台灣
世界
動物
娛樂
電影
星聞
影評
美漫
圖文
女生
時尚單品
美妝
感情
出門
旅遊
美食
動漫
動漫宅
遊戲
Cosplay
生活
求職
藝術
知識
星座
科技
小物
親子
公關專欄
編輯專欄
蘑菇宅
雪若Q談人蔘
Adrian
ChloE直講
網人365
今日紅什麼
本週主打星
TEEPR原創影片
叭啦叭啦研究室
TEEPR推一波
亮新聞
IG專區
首頁
台灣
世界
動物
圖文
娛樂
女生
出門
動漫
生活
公關專欄
編輯專欄
網人365
宅女貞德寫的文章
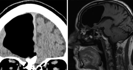
男子被驗出「巨大腦洞」,「半個大腦不見了」但仍跟我們一樣正常!醫生這樣解釋
March 21, 2018
台灣
,
世界
女子收到「前男友喜帖」,祭出「這一招」全網大讚:太狠了!
March 20, 2018
世界
馬克盧法洛被抓到「像瘋狂粉絲一樣追星」照片萌翻全網!誰來提醒他自己也是個名人啊~
March 20, 2018
星聞
,
世界
,
電影
台灣高中生「靠比特幣」一次付清600萬學費!他爆背後「爽賺秘笈」
March 20, 2018
台灣
網紅都在瘋「在家打鐵」!只要一個禮拜「鋁箔紙→閃亮鋁球」…成就+療癒感滿滿(7張)
March 19, 2018
藝術
,
世界
桃機女警「神似蔡依林」真面目曝光!網一看「超甜美私服」戀愛:是初戀臉!
March 19, 2018
世界
史上首次研究證實「吃檳榔會上癮」!吃太多「患癌風險高153倍」,專家警告:應馬上治療
March 19, 2018
世界
,
台灣
,
美食
99%日本人都不知道!「生魚片旁的黃色菊花」能吃嗎?專家揭「超唯美標準吃法」讓壽司口感秒升級!
March 18, 2018
美食
,
世界
12張證明我們每一個人都是騙子「如果世界沒有謊言」諷刺漫畫
March 18, 2018
世界
,
動漫宅
13個證明「人類本性超懶惰」中肯漫畫 上班「第1天 VS 第101天」態度差超多
March 18, 2018
世界
,
動漫宅
8個你從來都沒有發現「最糗歷史製作錯誤」 飛機的窗戶為什麼不是方形的?
March 18, 2018
世界
,
圖文
86歲阿嬤花2000萬建造「超宏偉瓷宮」!裡面有6萬多件瓷器「都是她的作品」價值已破億!
March 18, 2018
藝術
,
世界
跳轉頁面
« 第一頁
‹ 上一頁
170
171
172
173
174
175
176
177
178
179
180
下一頁 ›
最後一頁 »
← Older posts
Newer posts →
兒童不宜內容
此內容只給年滿18歲的讀者觀看,如非18歲請退出!
我大人了啦!
未滿18歲
cwv3_den_title
cwv3_den_msg
未滿18歲